จากกรณีเพจ “เจ๊ม้อย v+” เผยแพร่คลิปเหตุทำร้ายร่างกาย โดยระบุว่าเกิดขึ้นภายในซอยสุขุมวิท 11 เมื่อสาวประเภทสองรายหนึ่งถูกทำร้ายจนกระดูกหัก หลังนั่งดื่มกับชาวต่างชาติและออกมาส่งขึ้นรถกลับโรงแรม
ล่าสุด ผู้สื่อข่าวลงพื้นที่บริเวณภายในซอยสุขุมวิท 11 แขวงคลองเตยเหนือ เขตวัฒนา กรุงเทพฯ จุดเกิดเหตุ และได้พูดคุยกับ นายกวิตา กันชาติ หรือ มอสดี้ อายุ 47 ปี ผู้เสียหาย ซึ่งเปิดเผยว่า เหตุการณ์เกิดขึ้นเมื่อวันที่ 16 ธันวาคม 2568 เวลาประมาณ 07.00 น.

โดยก่อนเกิดเหตุ ตนได้ไปเที่ยวผับแห่งหนึ่งในซอยสุขุมวิท 11 มากับเพื่อนรวม 4 คน เป็นชาวต่างชาติ 2 คน และรุ่นน้อง 1 คน ระหว่างนั่งดื่มได้มีสาวประเภทสองที่ไม่รู้จักมาก่อนนั่งโต๊ะข้างกัน และมีการทักทายกันตามปกติ ต่อมาฝรั่งที่มากับตนได้ดีดน้ำไปถูกสาวประเภทสองรายดังกล่าว แต่ได้มีการขอโทษและพูดคุยเคลียร์กันเรียบร้อยแล้ว พร้อมซื้อเครื่องดื่มเลี้ยงเพื่อเป็นการขอโทษ
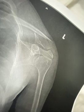
กระทั่งเที่ยวเสร็จ น้องตนกับแหนต่างชาติกลับก่อน จากนั้นตนได้เดินออกมาส่งเพื่อนชาวต่างชาติกลับโรงแรม โดยถือขวดสุราออกมาด้วย และได้ไลฟ์สดขณะยืนอยู่บริเวณฟุตบาทสุขุมวิท 11/1 จู่ ๆ สาวประเภทสองคนเดิมได้เข้ามากระชากศีรษะและทำร้ายร่างกายตนอย่างรุนแรงหลังเกิดเหตุ ผู้เสียหายเข้ารับการรักษาที่โรงพยาบาลตำรวจ แพทย์ตรวจพบว่ากระดูกไหปลาร้าซ้ายหัก และซี่โครงด้านซ้ายหัก3ซี่ ก่อนเข้าแจ้งความร้องทุกข์ที่สถานีตำรวจนครบาลลุมพินี

นายกวิตา ระบุอีกว่า ภายหลังผู้ก่อเหตุได้ติดต่อมาเพื่อขอเจรจาไกล่เกลี่ย ตนได้แจ้งค่าเยียวยาประมาณ 200,000 บาท ซึ่งเป็นค่ารักษาพยาบาลและค่าเสียหายจากการขาดรายได้ แต่จนถึงขณะนี้ยังไม่มีความคืบหน้า และผู้ก่อเหตุพยายามบ่ายเบี่ยงมาโดยตลอด

จึงตัดสินใจร้องเรียนผ่านสื่อมวลชน เพื่อขอความเป็นธรรม เนื่องจากตนไม่ได้รู้จักหรือมีปัญหาส่วนตัวกับคู่กรณีมาก่อน แต่กลับถูกทำร้ายจนได้รับบาดเจ็บสาหัสถึงขั้นกระดูกหักขนาดนี้
